南京一民医院网站
致敬峥嵘岁月 守护晚年口福 ——95岁抗美援朝老兵重获 “第三副真牙”
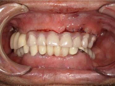
“雄赳赳,气昂昂,跨过鸭绿江……”70 余年前,他身披戎装,用青春与热血守护家国安宁;如今,年逾九旬的抗美援朝老兵丁爷爷,却因上半口大部分牙齿松动脱落,陷入了 “食难咽、语不清” 的困境。近日,一民医院口腔科通过即拔即种的修复方案,成功为丁爷爷完成了上半口即刻种植修复,让这位可敬的老兵在暮年重享咀嚼之乐。

高龄缺牙难题,困住英雄晚年
年逾九旬的丁爷爷,右上前牙于数年前在外院行种植修复,现牙冠脱落;左上半口数年前行烤瓷连冠修复,现余留牙也已明显松动,严重影响进食。“年轻时在战场上啥苦都吃过,没想到老了连顿顺心饭都吃不上。” 丁爷爷的感慨,让家人看在眼里、急在心里。
由于右侧种植体是数年前的老款,现在已经没有对应的复合基台,左侧又存在多颗烤瓷冠,丁爷爷的口腔情况较为复杂。为此,口腔科特邀请南京市第一医院医联体专家薛昌敖主任和宋鑫主任成立了专项诊疗小组,通过口腔CT仔细评估牙槽骨情况,反复研讨后制定了个性化修复方案:保留右侧原有种植体,调整匹配基台;左侧拆除烤瓷冠,拔除松动牙后即刻植入新的种植体,两侧同期制作临时义齿,实现“即拔、即种、即用” 的三重保障。

手术当天,凭借术前的充分准备,在两位主任的默契配合下,从拔除患牙到植入种植体,再到安装临时义齿,整个过程仅用两个多小时,创伤小、出血少,丁爷爷全程无明显不适。“手术一点都不痛,医生和护士都特别细心,就像家人一样照顾我。” 术后丁爷爷握着医护人员的手连连道谢并合影留念。


重享口福时光,致敬英雄本色


术后,医护团队为丁爷爷制定了细致的护理方案。让家人欣慰的是,丁爷爷术后恢复良好,一周后复查时,他已经逐渐可以尝试软米饭和蔬菜,说话也变得清晰有力。“现在能吃一些软的食物了,现在感觉整个人都精神了!”家人激动地说:“感谢一民医院的医生们,不仅解决了老人的吃饭问题,更让他重拾了生活的乐趣。”

技术守护尊严,医者传递温度
此次为高龄老兵成功完成上半口即刻修复,不仅体现了一民医院口腔科在高龄种植领域的专业能力,更体现了 “拥军优属、关爱老兵” 的责任担当。一民医院口腔科始终坚持 “以患者为中心”,针对高龄、口腔情况复杂的缺牙患者,用精湛的技术、温暖的服务,帮助更多缺牙患者改善生活质量。从战场到晚年生活,改变的是时光,不变的是英雄本色。一民医院愿以专业与温情,守护每一位长者的健康与尊严。

导医咨询电话:025-69026700(周一至周六8∶00-17∶30、周日上午8∶00-12∶00)

健康管理中心:025-69026699(周一至周六8∶00-17∶30)

南京一民医院有限公司 版权所有 苏ICP备19064109号-1 

地址:南京市江宁区东山街道上高路86号

急诊 科:025-69023999转801000(24小时)

房:025-69023999转801310(24小时)

医保 办:025-69023999转801602(周一至周五8∶00-17∶30)

投诉电话:025-69023999转817105(周一至周五8∶00-17∶30,其他时间段请拨打 801110)